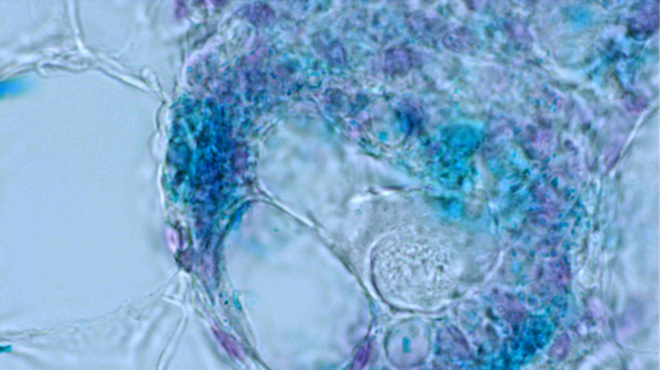
La Quotidienne de Bruxelles - Tumore seno, farmaco aumenta sopravvivenza senza peggioramento

EUR -
AED 4.34565
AFN 76.914273
ALL 96.607572
AMD 446.36223
ANG 2.118193
AOA 1085.081707
ARS 1709.824236
AUD 1.683447
AWG 2.13289
AZN 2.021476
BAM 1.956958
BBD 2.375416
BDT 144.135286
BGN 1.987191
BHD 0.446102
BIF 3494.697374
BMD 1.183295
BND 1.499187
BOB 8.149822
BRL 6.199519
BSD 1.179403
BTN 106.558601
BWP 16.290708
BYN 3.379214
BYR 23192.585239
BZD 2.372014
CAD 1.6135
CDF 2603.249667
CHF 0.917087
CLF 0.025772
CLP 1017.634253
CNY 8.209944
CNH 8.203661
COP 4321.393943
CRC 585.768881
CUC 1.183295
CUP 31.357322
CVE 110.329817
CZK 24.339203
DJF 210.025161
DKK 7.468545
DOP 74.266769
DZD 153.602363
EGP 55.650127
ERN 17.749427
ETB 182.951611
FJD 2.600706
FKP 0.866753
GBP 0.862563
GEL 3.189017
GGP 0.866753
GHS 12.920645
GIP 0.866753
GMD 86.380406
GNF 10347.516218
GTQ 9.046315
GYD 246.746002
HKD 9.247682
HNL 31.161624
HRK 7.533807
HTG 154.701538
HUF 380.912173
IDR 19848.593102
ILS 3.656778
IMP 0.866753
INR 107.051295
IQD 1545.02073
IRR 49846.309022
ISK 144.988891
JEP 0.866753
JMD 184.836398
JOD 0.838943
JPY 184.975657
KES 152.088635
KGS 103.479199
KHR 4758.75547
KMF 494.617247
KPW 1064.950559
KRW 1716.717192
KWD 0.36371
KYD 0.982882
KZT 591.302377
LAK 25369.011047
LBP 105616.640496
LKR 365.056007
LRD 219.367948
LSL 18.890578
LTL 3.493963
LVL 0.715764
LYD 7.456444
MAD 10.818702
MDL 19.972818
MGA 5227.115013
MKD 61.634227
MMK 2485.061759
MNT 4222.50488
MOP 9.491156
MRU 47.08365
MUR 54.289889
MVR 18.282221
MWK 2045.118755
MXN 20.373735
MYR 4.646762
MZN 75.435099
NAD 18.890658
NGN 1642.59147
NIO 43.406051
NOK 11.390362
NPR 170.501371
NZD 1.958797
OMR 0.454974
PAB 1.179398
PEN 3.970449
PGK 5.053182
PHP 69.762331
PKR 329.85297
PLN 4.224598
PYG 7824.662979
QAR 4.288619
RON 5.095033
RSD 117.375808
RUB 91.110678
RWF 1721.38402
SAR 4.437519
SBD 9.535112
SCR 16.849789
SDG 711.752142
SEK 10.5164
SGD 1.503181
SHP 0.887778
SLE 28.961135
SLL 24813.1071
SOS 672.923765
SRD 45.100704
STD 24491.820857
STN 24.515438
SVC 10.320106
SYP 13086.741503
SZL 18.897262
THB 37.358404
TJS 11.021528
TMT 4.153366
TND 3.410504
TOP 2.849091
TRY 51.487184
TTD 7.988761
TWD 37.331541
TZS 3054.72387
UAH 51.040817
UGX 4204.487829
USD 1.183295
UYU 45.426495
UZS 14438.543402
VES 439.760484
VND 30762.716058
VUV 141.448244
WST 3.226037
XAF 656.370341
XAG 0.013535
XAU 0.000234
XCD 3.197915
XCG 2.125567
XDR 0.816286
XOF 656.34814
XPF 119.331742
YER 282.067981
ZAR 18.847602
ZMK 10651.062831
ZMW 23.145793
ZWL 381.02056